「歯を抜かない」治療に徹底的にこだわった歯科医院です
このような歯は救えます 〜歯を抜かない治療〜
生える方向や位置、対合関係が良ければ必ずしも抜歯ではありません。
歯の根の先に膿が溜まった状態です。内科的歯科治療や歯根端切除手術で多くの症例で抜歯回避できます。
5つ以上のバラバラになっていなければ多くの症例で接着が可能です。接着をして保存します。症例によって補綴物は保険外でお願いしています。理由は保険外補綴物であるPGAと言う金属は生体親和性がいいからです。また保険適用内であるパラジユウム合金は硬さ、密閉度、伸びに問題があり再手術になる可能や歯の喪失に繋がりますのでご遠慮いただいています。
保存が困難な症例ですが内科的歯科治療や歯根端切除手術で多くの症例で治療可能です。内科的歯科治療で使う薬剤は患歯にだけ作用する極少量を用いますので隣の歯や全身への影響はありません。ですから奥歯などの複数根のような歯の場合では各々に入れないと効果がでないのです。
健康な歯を抜く場合が多いので矯正担当医と話し合いながら行っています。
歯が水に浮かんでいるような感じで、押すと少し沈んでしまう状態です。この場合、詰め物や補綴物も無く綺麗な状態だったとしても、歯は亡くなっています。綺麗なのでご理解が難しいかもしれませが抜けた状態ですので治療はできません。こうなる前に定期的な歯のメンテナンスをお願いしています。
インプラントはいたしません 〜天然歯を出来るだけ残す治療〜
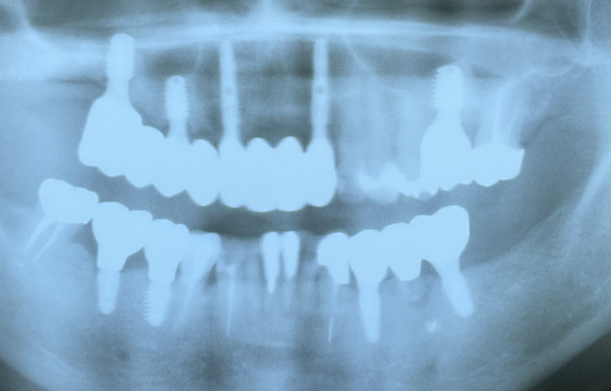
<60歳女性が、顔面麻痺を訴え来院>9本ものインプラントが。打ち過ぎで当院では処置はできないと判断して信頼できる大学病院*を紹介しました。
<86歳女性が来院>経験の浅い、技術のない歯科医師によるインプラント。インプラントが抜けてしまい、右上以外の4本も同じような状況に。信頼できる大学病院*を紹介しました。
インプラントを施術したい医師は、患者さんにインプラントの利点を伝えますがインプラントの欠点についてはあまり説明していません。 インプラントは、チタンという金属でできており、人工歯根のことです。このチタンは身体にはまったく害がないと説明されていますが、実際にはいくつか問題があると考えています。まずチタンは錆びないといわれていますが、歯磨き剤やマウスウォッシュに含まれている虫歯予防に効果的なフッ素で錆びます。 チタンは電磁波を集めるという問題もあります。体外から入ってくる電磁波がさまざまな疾患との因果関係は疫学調査にて指摘されていますし、電磁波が原因で心臓に不調をきたすこともあります。 また、一番のポイントは、インプラントは天然歯以上にメンテナンスが大切なのです。それは歯肉との関係で、治療直後からポケットが深い歯周病と同じ状態にあるためなのです。
*信頼できる大学病院:明海大学附属PDI東京診療所(JR代々木駅前)
お子様が笑顔で通院できる理由


